Un adolescente de Nevada se está recuperando de graves lesiones y fracturas en la mandíbula, después de que un cigarro eléctrico explotó en su rostro mientras lo estaba utilizando.
El joven de 17 años de edad, tuvo que viajar con su madre 400 kilómetros, de su pequeño pueblo en Nevada hasta un hospital pediátrico de Utah; todo mientras sufría un sangrado en la boca, dientes rotos y un hoyo en su mandíbula.
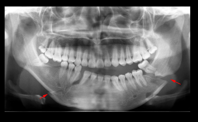
Al llegar al hospital los médicos lo ingresaron rápidamente a cirugía, donde trabajaron para reconstruir y reparar el hueso fracturado.
“La gente debe saber antes de comprar estos dispositivos, que existe la posibilidad de que exploten en tu bolsillo o en tu rostro”, dijo la Dra. Katie Russell, directora médica de traumatología en el Hospital Infantil Primary y quien trató al chico en este caso, el cual no tenía idea que algo así pudiera ocurrir.
No queda claro cuál fue el tipo de cigarrillo electrónico involucrado en este incidente, pero esta es solo una de las miles de lesiones reportadas en años recientes, relacionadas con el uso de vaporizadores defectuosos.
El pasado marzo, un hombre de Texas falleció después de que uno de estos dispositivos explotó y una de las piezas desgarró su arteria carótida, quedando atorada en la garganta de la víctima.
En ambos casos los vaporizadores eran de las versiones más grandes a los dispositivos regulares, por lo que tenían una batería más poderosa. Aunque se ha hablado mucho sobre los potenciales riesgos que este hábito tiene en la salud; la atención no se ha dirigido a los riesgos de explosión en estos dispositivos, a pesar de los múltiples casos de heridas y muertes.
Deja tu opinión sobre el caso, y comparte la noticia con todos.








