Cuando nos enojamos con alguien, la mayoría de las veces existe un motivo, pero hay personas que tienen ataques de ira, sin aparente razón.
Pixabay/geralt
Emma y Justin Cotillard celebraron su matrimonio al lado de sus mejores amigos y familiares. Después de este evento se fueron de luna de miel. Hasta aquí, todo marchaba de maravilla. Estos jóvenes se encontraban realmente enamorados, además llenos de ilusión porque esperaban a su primer hijo. En ese entonces, Emma tenía 7 meses de embarazo.
facebook/Emma Cotillard
Emma no disfrutó del todo la luna de miel, ya que Justin una mañana se levantó enojado y desconoció a su esposa. Eufórico le pidió que se marchara. Justin antes no se había comportado de esta manera. En cuestión de minutos, Justin salió del “trance” y señaló que no recordaba lo sucedido.
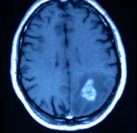
Ese fue el primer episodio en el que Emma se desconcertó profundamente. Después vivió 3 momentos parecidos. Justin visitó a varios especialistas y se realizó varios estudios. El diagnóstico no fue alentador. Justin tenía un tumor cerebral.
INAR
Justin se sometió a diferentes tratamientos y los médicos le daban máximo 2 años de vida. Emma sufrió mucho estrés por lo que su parto se adelantó y su bebé nació 5 semanas antes de la fecha prevista.
Su pequeñita nació en perfectas condiciones, pero desafortunadamente la salud de Justin no mejoró, el tumor hizo metástasis. La pareja estaba devastada, entonces, Emma decidió hacer todo lo que estaba en sus manos para que Justin fuera muy feliz los últimos días que le quedaban.
Facebook/Justin Cotillard
Desde que a Justin le diagnosticaron el tumor, vivió 7 meses más. Logró celebrar la Navidad y festejar su cumpleaños número 30.
Emma ha decidido compartir su historia para crear conciencia sobre los síntomas de este tipo de tumores. Después que Justin falleció, encontró una fotografía donde su rostro estaba notablemente caído de un lado, era un signo de su enfermedad.
Facebook/Emma Cotillard
Ante cualquier anormalidad debemos consultar al médico, recordemos que nuestra salud es lo más importante.
¿Qué piensas de este artículo? ¡Por favor deja tus comentarios debajo!
¡No te olvides darle like a la página para leer más notas como ésta!







