Los científicos australianos descubrieron que las personas están experimentando una microevolución.
Ya se pueden observar cambios evolutivos durante un corto período de tiempo, y es que la evolución humana no se ha detenido nunca.
Aunque no lo notemos a simple vista, en los últimos siglos nuestro cuerpo ha sufrido varios cambios que permiten afirmar que estamos experimentando una ‘microevolución’ , según informa el Independent, haciendo referencia a la doctora en anatomía Teghan Lucas, de la Universidad Flinders de Adelaida (Australia).
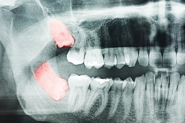
La doctora afirma que los rostros se están volviendo mucho más cortos, con mandíbulas pequeñas, dejando menos espacio para los dientes. Esto ha ido sucediendo con el tiempo, ya que hemos aprendido a utilizar el fuego y a procesar los alimentos antes de ingerirlos.
En particular, cada vez son más los niños nacen sin muelas del juicio.
“Esto está sucediendo con el tiempo, ya que hemos aprendido a utilizar más el fuego y a procesar los alimentos. Mucha gente está naciendo sin muelas del juicio”, indica textualmente la doctora Lucas.
Pero los recientes cambios evolutivos no se limitan a la forma de la cara. En un estudio publicado en el último número de la revista Journal of Anatomy, se muestra que en poco más de un siglo se ha triplicado la incidencia de la llamada arteria mediana, una arteria ocasional del antebrazo, que se forma en el útero y generalmente desaparece durante el período de gestación.
Aparte de los cambios mencionados, en los últimos 200-300 años ha aumentado también el número de personas con huesos adicionales en manos y piernas, además de conexiones anormales de huesos en los pies.
“Los cambios en las presiones de selección natural que actúan sobre estas características anatómicas específicas podrían haber causado estos procesos microevolutivos”, suponen los autores del estudio.
¿Conoces a alguien sin muelas del juicio de nacimiento?
¡COMPARTE y comenta el artículo!






