Una estudiante que recibió durante toda su vida burlas por la forma de su mentón se sometió a una cirugía y la transformación fue impresionante.
La joven de 20 años tuvo dificultades para terminar la escuela secundaria debido a las constantes burlas que recibía, pero ahora afirma haber redescubierto su confianza luego de pasar por el quirófano.
Lauren Whitt de Evergreen, Colorado se sometió a una cirugía constructiva en la mandíbula luego de que durante toda su adolescencia sus compañeros la llamaran “bruja” y “fea”.
La deformidad de Lauren la llevó a tener un mentón agrandado, lo que significa que tenía dificultades para comer y le costaba respirar y hablar. Después de transferirse a otra escuela para alejarse de sus agresores, el abuso continuó, lo que provocó que Lauren complete su educación en línea.
Se le recomendó que se operara a la edad de 12 años para lidiar con la clase tres de la mordida y la mandíbula subdesarrollada. Pero, después de retrasar el tratamiento, su condición empeoró en tres años.
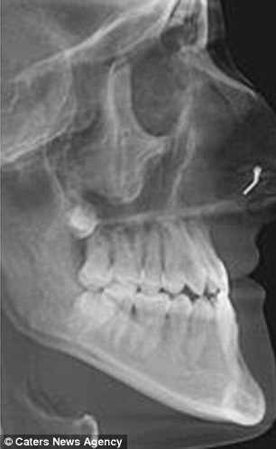
Para reparar la deformidad, a Lauren se le rompieron las dos mandíbulas y luego se volvieron a juntar usando 36 tornillos y hueso insertado en su barbilla. No solo la cirugía redujo el tamaño del mentón, ahora Lauren puede respirar adecuadamente y su ceceo ha desaparecido por completo.
Lauren dijo: “No podría vivir así más tiempo. Me estaba haciendo sentir miserable.
“Esperé hasta que fui adulta para someterme a la cirugía porque no quería pasar por algo tan doloroso siendo solo una niña.
“No había sido capaz de morder nada correctamente desde que era una niña. Sentía un dolor constante en la mandíbula todos los días.”
“Tuve muchos problemas para respirar y siguió empeorando. Llegué al punto en que no podía respirar sin la boca abierta.”
“Mi terapeuta del habla me dijo que mi ceceo no podía repararse a través de la terapia. Poco después de la cirugía noté que ya no estaba.”
“Fui brutalmente intimidada durante años por la forma en que me veía, así que este cambio en mi rostro es un gran refuerzo de confianza”.
Antes de someterse al procedimiento, Lauren tuvo que usar aparatos durante casi un año para que sus dientes se enderezaran. Sin embargo, debido a las deformidades en su mandíbula, crearon más dolor y sufrimiento.
“Prepararse para ello fue una de las partes más difíciles.”
Debido a la magnitud de la deformidad de Lauren, la cirugía tomó nueve horas cuando debería haber tomado cuatro.
“Mi cirujano me dijo que mi mordida inferior era la más grave que había visto en su vida.”
“Dijo que esta era una de las cirugías más complicadas de su carrera”.
La recuperación de Lauren fue muy complicada, debido a que el injerto óseo falló y causó infección, lo que llevó a una cirugía adicional. Otro hueso también se agrietó, lo que llevó a un tercer procedimiento.
“Debido a mis complicaciones, mi recuperación ha sido diez veces peor de lo que debería”.
Debido al hecho de que no podía comer ningún sólido, el peso de Whitt bajó a 113 libras, que es 22 libras menos que su peso saludable.
“Va a ser genial cuando finalmente pueda comer una hamburguesa nuevamente sin cortarla”.
A pesar de las complicaciones, Lauren está contenta de haber llevado a cabo la cirugía.
“Ha sido mi experiencia más horrible y gratificante hasta ahora.”
“Cualquiera que esté considerando esta cirugía debería hacerlo porque puede cambiar tu vida”.









