Existen eventos o incidentes que le ocurren a personas cuya probabilidad de sobrevivir es muy baja o prácticamente imposible.
Pero los milagros sí existen, aunque la ciencia lo contradiga.
Parece increíble, sin embargo, en febrero un joven en Santiago de Chile llamado Pablo Advis, sobrevivió a una caída desde un piso 21.
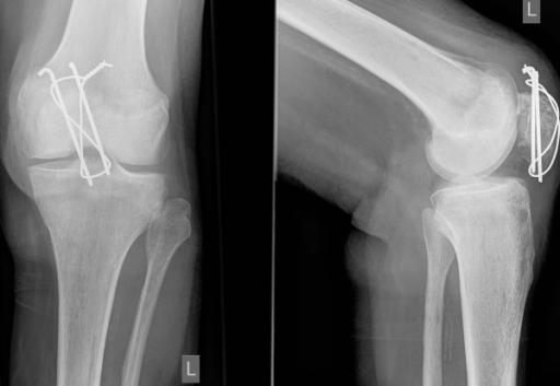
Lo más increíble, además de haber sobrevivido, es que no recuerda nada de lo que ocurrió desde el sábado anterior al accidente y hasta dos meses luego de la caída. Cuando despertó del coma inducido, se percató que estaba en una cama de hospital rodeado de placas de hierro para apoyar su débil estructura ósea.
Su mujer, Paulina Pedraza, informó que los médicos que lo atendieron le dijeron que su marido no iba a sobrevivir.
Pablo sufrió alrededor de 124 fracturas, sin embargo, después de casi 12 meses de tratamiento se recuperó exitosamente.
“Tenía casi todos los huesos quebrados” pero sin daños cerebrales y con la columna vertebral a salvo, comentó en ese instante el doctor Sergio Sánchez, director general del Hospital de Urgencia y Asistencia Pública, también conocido como Posta Central de Santiago.
Luego de preguntarle al doctor Sánchez cómo logró sobrevivir su paciente, dijo que la forma en que cayó, precisamente con el lado derecho de su cuerpo y no de frente; además lo hizo encima de una bicicleta cuyas llantas amortiguaron la caída, evitando que el golpe fuera sobre el pavimento. También le ayudó su contextura física, al tratarse de un hombre delgado.
“Es un completo milagro”, dijo Paulina. “Cuando tienes fe te das cuenta que no existe lo imposible”, sostuvo la mujer del paciente.
Un caso similar ya había ocurrido el 20 de junio del año 2015, cuando un hombre llamado Sebastián Reyes, sobrevivió a una terrible caída desde el piso 17 de un edificio de la ciudad de Rancagua, en Chile igualmente. Sebastián, estaba celebrando la reciente victoria de Chile contra Bolivia en la Copa América, y cayó desde una altura de 40 metros.
“Esto prácticamente no se ve jamás. Ya cinco metros de caída es fatal”, declaró el reanimador Emilio Castro.
Al narrar su historia, Sebastián comentó sobre la intervención divina, y enseñó un tatuaje que se hizo en el brazo con la leyenda: “Dios no me abandones”.
Si aún tenías dudas de que los milagros existían, con estos dos casos te dejarán pensando… Comenta lo que opinas en los comentarios.







