Es bueno fomentar una educación espiritual sobre los niños.
Sin embargo, se debe vigilar que ningún objeto religioso, y en general de ninguna índole, termine en las manos de un niño puesto que pueden suceder accidentes, como el que aconteció hace poco en Brasil.
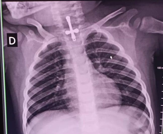
Un pequeño de dos años fue llevado de urgencias al Hospital de Passos, en el sur de Minas, permaneciendo hospitalizado tras ser sometido a una intervención médica para extraerle un crucifijo que se tragó el pasado sábado 17 de octubre.
El objeto obstruyó el aparato digestivo del menor, quien fue ingresado en la Unidad de Emergencias (UPA) de Divinópolis. En el sitio, esperaba un traslado a una unidad de alta especialidad en el municipio de Passos, lo que ocurrió el lunes 19.
La familia vivió momentos de mucha angustia mientras esperaban el traslado del niño. El Ayuntamiento indicó que el retraso en la realización del traslado se debió a la falta de disponibilidad de camas en el Estado. Tan pronto como hubo disponible una cama, el menor fue llevado al hospital en el municipio de Passos, donde le fue retirado el objeto.
Debido al tiempo que el objeto permaneció en el cuerpo del pequeño, el menor desarrolló fiebre debido a una infección tras la remoción del crucifijo; continuará recibiendo tratamiento hasta que sea dado de alta, pero aún no hay un pronóstico de cuándo podría volver a casa.
Este caso generó controversia en las redes sociales debido a la reacción tan variada que han tenido los internautas; muchos hablan sobre la falta de cuidado por parte de los padres hacia el menor. “Qué clase de padres permiten que su hijo juegue con un crucifijo. Esta bien fomentar la religión, pero nada justifica que se les deje a su suerte sin supervisión”, señaló una mujer.
Por otra parte, muchos internautas reaccionaron de forma burlona y sarcástica hacia lo acontecido al inocente pequeño, ocasionando el asombró de los otros usuarios que no pueden creer la indiferencia a la que ha llegado la humanidad.
Deja tu opinión sobre el caso, y compártelo con todos.









